
sábado, 31 de outubro de 2009
Caso do Aluno de Aperfeiçoamento em Endodontia - Marcos Polli

quarta-feira, 28 de outubro de 2009
Enquete Endodôntica!
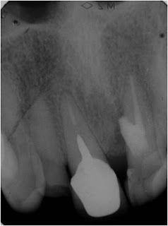
- Dente 25 com sensibilidade a percussão vertical / horizontal
- Presença de Bolsa Periodontal
- Presença de Fístula
- Tratamento Endodôntico Realizado há aproximadamente 05 anos

Com esses dados clínicos e a radiografia de rastreamento da fístula realizada, como vc avaliaria este caso:
1 - Diagnóstico: Fratura; Plano de Tratamento:Exodontia ;
2 - Diagnóstico: Rarefação Óssea Periapical; Plano de Tratamento: Remoção de Prótese, Núcleo e Retratamento;
3 - Diagnóstico: Rarefação Óssea Periapical; Plano de Tratamento: Cirurgia Paraendodôntica;
Façam seus comentários...daqui alguns dias postaremos o desfecho dessa história.
Abraço da EEC!
terça-feira, 27 de outubro de 2009
segunda-feira, 26 de outubro de 2009
domingo, 25 de outubro de 2009
Parabéns Cirurgião Dentista!!!
sexta-feira, 23 de outubro de 2009
quinta-feira, 22 de outubro de 2009
Sessão Única - 2o Molar Inferior
Tratamento Endodôntico do 2o Molar Inferior Esquerdo com 2 canais.Instrumentação Rotatória Protaper
Obturação com Téc. Híbrida de Tagger
quarta-feira, 21 de outubro de 2009
"Dúvidas sobre localizador apical"
Parabens, pois neste site podemos tirar duvidas, como a minha, sei q ja foi respondido sobre o localizador, mais tenho uma duvida, existe um aparelho chamado Localizador Apical 6ª Geração Denapex Safendo, o que significa 6a geração, obrigado e parabens a vcs mais uma vez.
21 de Outubro de 2009 01:54pm
segunda-feira, 19 de outubro de 2009
Caso de Reabsorção Interna
Boa noite amigos
Gostaria de saber a opiniao de voces quanto ao tratamento deste caso (Elemento 11).
Trata-se de uma reabsorcao interna que provavelmente ainda nao se exteriorizou.Qual conduta indicada neste caso?Ja fiz a abertura coronaria e extirpacao pulpar.Ha necessidade de trocas de curativo de hidroxido de calcio?
Um grande abraço
Simone N G Favinha
Defesa de Dissertações - Mestrado em Endodontia / São Leopoldo Mandic

domingo, 18 de outubro de 2009
snalin@terra.com.br
gostaria de saber a opiniao de voces quanto ao tratamento deste caso
Trata-se de uma reabsorcao interna que provavelmente ainda nao se exteriorizou.
Qual conduta indicada neste caso?
Ja fiz a abertura coronaria e extirpacao pulpar.
Ha necessidade de trocas de curativo de hidroxido de calcio?
Um grande abraco
Simone N G Favinha
O que seria isso?
sexta-feira, 16 de outubro de 2009
Retratamento em Sessão Única
Aluno do Mestrado em Endodontia Antonio Henrique Braitt Genero: feminino
Idade: 27 anosRetratamento
Irrigação: NaOCl 5,25%
Instrumentação: Sistema ProFile
Ativação passiva ultra sônica por 3 minutos com EDTA a 17% pH 7.0
Obturação:Cones ProTaper F2 (vestibulares) e F3 (Palatino)
Termo plastificação da guta Percha (Mc Spadden modificado)
Pasta AHPlus
segunda-feira, 12 de outubro de 2009
Patencia Foraminal, Ampliação Foraminal...

domingo, 11 de outubro de 2009
Canais Calcificados
A microscopia aliada ao ultrassom pode facilitar a realização de procedimentos como estes principalmente pelo desgaste controlado de estrutura dental no intuito de procurar a rota correta.
Broca LN

Simone S. Viveiros
Renata Martins Miguel Professores Convidados do Curso de Especialização em Endodontia
sábado, 10 de outubro de 2009
Retratamento Endodôntico em Sessão Única

quarta-feira, 7 de outubro de 2009
Caso clínico
Boa tarde a todos, segue caso clínico de retratamento com sobre extensão do cone, após dois anos sem comparecer no consultório a paciente retornou para queixar de dor na região a palpação, feito rx notou-se não haver melhora do quadro anterior ao retratamento, com fístula,e mobilidade. O caso foi bem conduzido, confesso que fiquei frustrado com a não resolução do caso . Um abraço.
Dr. Carlos Ramos. Extrema M.G. Ex.aluno de capacitação em Endodontia da Slmandic.
segunda-feira, 5 de outubro de 2009
Lesões Mandibulares
Boa noite
sou aluna do curso avancado em Endodontia
estou com este caso onde se observa varias lesoes em mandibula.
Realizei teste de vitalidade e todos os dentes envolvidos se apresentam com vitalidade
Voces ja viram um caso como este?
Trata-se de alguma sindrome?
Simone Nalin G Favinha
Marilia SP
Retratamento de Pré-molar Superior com Variação Anatômica

Clique para ampliar a imagem.
domingo, 4 de outubro de 2009
quinta-feira, 1 de outubro de 2009
Agenda de Qualificações

eletrônica de varredura.
Raquel Suzana Ripol – Comparação da capacidade de modelagem utilizando o sistema rotatório Protaper Universal e técnica manual por meio de tomografia computadorizada.

























