Caso Clínico de SIstema Reciproc do aluno de Mestrado da
Equipe de Endodontia de Campinas Lincoln de Campos Fruchi
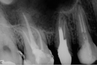
Primeiro caso com reciproc. Exploração dos canais e odontometria com limas tipo k 10 e 15 0.2.
Não foi executado pré flaring com gates, foi usada apenas a 25 0.8 reciproc com motor vdw reciproc até proximidade do crt e refinamento com limas flexofile 20 0.2 e 25 0.2.
Abraços,
LINCOLN DE CAMPOS FRUCHI
ESPECIALISTA EM ENDODONTIA - USP
MESTRANDO EM ENDODONTIA DE EXCELÊNCIA PARA ESPECIALISTAS DA SLMANDIC
MEMBRO DA ACADEMIA AMERICANA DE ENDODONTIA
http://www.blincodontologia.com.br/
Não foi executado pré flaring com gates, foi usada apenas a 25 0.8 reciproc com motor vdw reciproc até proximidade do crt e refinamento com limas flexofile 20 0.2 e 25 0.2.
Abraços,
LINCOLN DE CAMPOS FRUCHI
ESPECIALISTA EM ENDODONTIA - USP
MESTRANDO EM ENDODONTIA DE EXCELÊNCIA PARA ESPECIALISTAS DA SLMANDIC
MEMBRO DA ACADEMIA AMERICANA DE ENDODONTIA
http://www.blincodontologia.com.br/

Bom trabalho Lincoln. Parabéns!
ResponderExcluirSó uma pergunta: mesmo com acentuada curvatura das raízes vestibulares, porque vc optou pelo refinamento com instrumentos taper 02, já que vc chegou próximo ao CRT com um instrumento taper 08?
Um abraço e obrigado pela atenção.
Olá Lincoln,
ResponderExcluirMuito obrigado em participar de nosso blog.
O seu caso ficou excelente, mostrando sua capacidade como especialista experiente.
Uma pergunta: no canal palatino tb. utilizou a
Reciproc 25.08?
Abraço,
Carlos Bueno
Fico muito grato pelos elogios!
ResponderExcluirSobre o “refinamento”, na verdade trata-se de instrumentar os 3 mm finais que encontrei resistência em atingir, talvez em virtude de ser o primeiro caso clínico com o sistema e não querer exercer demasiada pressão...
Quanto ao canal palatino, usei a lima reciproc 25 e complementei com a F3 Protaper.
Um grande abraço
Lincoln